HNO Springer/Nature ■ Das Thema Demenz ist für viele Menschen mit Sorge und Unsicherheit verbunden. Gleichzeitig betrifft es immer mehr Familien und stellt unsere Gesellschaft vor grosse Herausforderungen. Wegschauen hilft hier nicht weiter – denn je früher Veränderungen erkannt werden, desto besser lassen sich Entwicklung, Versorgung und Prävention beeinflussen.
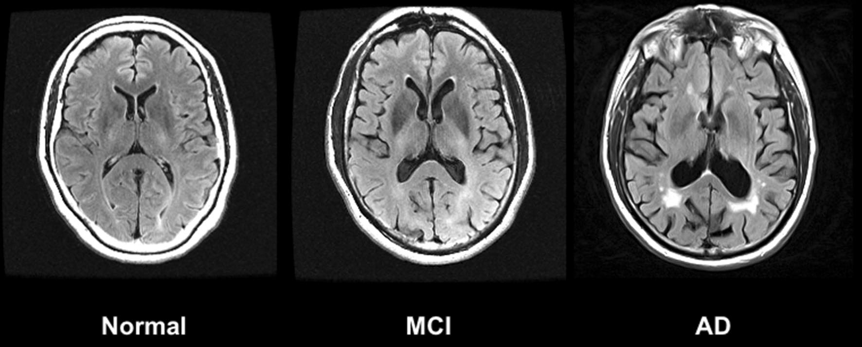
Wichtig ist dabei eine klare Unterscheidung: Von einer leichten kognitiven Beeinträchtigung (Mild Cognitive Impairment, MCI) spricht man, wenn geistige Leistungen messbar nachlassen, der Alltag jedoch noch weitgehend selbstständig bewältigt wird. Demenz bezeichnet hingegen keinen einzelnen Krankheitsverlauf, sondern einen Zustand mit anhaltenden und im täglichen Leben spürbaren Leistungseinbussen in mehreren geistigen Bereichen, vor allem im höheren Lebensalter. Alzheimer wiederum ist die häufigste Ursache einer solchen Demenzform – eine eigenständige Erkrankung, bei der es zu strukturellen Veränderungen im Gehirn kommt und Nervenzellen zunehmend geschädigt werden.

In den letzten Jahren rückt zudem das Hören immer stärker in den Fokus der Forschung. Hörverlust gilt heute als einer der bedeutendsten beeinflussbaren Risikofaktoren für spätere kognitive Einschränkungen. Damit wird klar: Moderne Hörakustik beschäftigt sich nicht mehr nur mit dem Ohr, sondern zunehmend mit dem Zusammenspiel von Hören und Gehirn.
Genau an dieser Schnittstelle setzt DiCoDi® an.
Was ist das DiCoDi®Screening?
DiCoDi® steht für Digital Cognitive Diagnostics und ist eine digitale, tabletbasierte Testbatterie zur Erfassung kognitiver Funktionen bei Menschen mit und ohne Hörverlust. Die Aufgaben sind überwiegend visuell gestaltet, sodass eingeschränktes Hören die Ergebnisse nicht verfälscht. Ergänzt wird die Testung durch strukturierte Selbsteinschätzungen.
Ziel ist es, zentrale geistige Leistungsbereiche sichtbar zu machen, die für Kommunikation, Sprachverstehen und den Umgang mit Höranforderungen im Alltag entscheidend sind.
Warum ist das für die Hörakustik so relevant?

Viele klassische kognitive Tests arbeiten mit gesprochenen Anweisungen oder sprachbasierten Aufgaben. Bei Menschen mit Hörverlust kann das zu Verzerrungen führen. DiCoDi® wurde genau mit diesem Problem im Blick entwickelt und verbindet audiologische Fragestellungen mit neuropsychologischer Diagnostik.
Für die Hörakustik bedeutet das einen wichtigen Schritt in Richtung ganzheitlicher Versorgung: Neben der Hörschwelle werden auch zentrale Verarbeitungsprozesse berücksichtigt. Gerade bei älteren Menschen oder bei ausgeprägter Höranstrengung kann diese zusätzliche Perspektive helfen, Beratung und Versorgungsstrategien individueller und fundierter zu gestalten.
Welche kognitiven Bereiche werden untersucht – und warum ist das alltagsrelevant?
DiCoDi® erfasst mehrere kognitive Domänen, also geistige Leistungsbereiche, die eng mit erfolgreicher Kommunikation verbunden sind. Dazu zählen unter anderem:
-
Aufmerksamkeit und Verarbeitungsgeschwindigkeit, die beeinflussen, wie gut Gesprächen in wechselnden Situationen gefolgt werden kann.
-
Arbeitsgedächtnis, das hilft, Informationen zwischenzuspeichern und Zusammenhänge zu verstehen.
-
Exekutive Funktionen wie Planung und flexible Anpassung, etwa beim Zurechtfinden in komplexen Hörumgebungen.
-
Visuell-kognitive Fähigkeiten, die das schnelle Erfassen und Strukturieren von Informationen unterstützen.
Diese Fähigkeiten sind im Alltag ständig gefragt – beim Gespräch im Restaurant, in Gruppensituationen, im Strassenverkehr oder am Telefon. Menschen mit Hörverlust müssen oft mehr geistige Ressourcen einsetzen, um Sprachsignale zu entschlüsseln. Werden diese Belastungen sichtbar, können Hörgeräteanpassung, Beratung und begleitende Trainings gezielter erfolgen.
Wissenschaftlich geprüft: Die aktuelle Studie als Qualitätsmerkmal

Die wissenschaftliche Qualität von DiCoDi® wurde kürzlich in einer neuen, peer-reviewten Fachpublikation im Journal HNO aus dem Springer-Nature-Verlag weiter untermauert. In der 2026 veröffentlichten Studie untersuchten die Autorinnen und Autoren die diagnostische Güte des Verfahrens bei Erwachsenen mit und ohne kognitive Auffälligkeiten. Berichtet werden dabei eine gute diagnostische Genauigkeit, eine hohe Zuverlässigkeit der Messungen sowie eine überzeugende Fähigkeit, unterschiedliche Leistungsniveaus zuverlässig voneinander zu unterscheiden.
Solche Kennwerte gelten in der klinischen Forschung als zentrale Qualitätsindikatoren und zeigen, dass DiCoDi® nicht nur theoretisch fundiert entwickelt, sondern auch empirisch überprüft wurde. Für die Hörakustik ist das ein entscheidender Punkt: Nur valide und wissenschaftlich geprüfte Instrumente liefern eine belastbare Grundlage für Beratung, Prävention und Versorgung.
Warum DiCoDi® die HNO & Hörakustik nachhaltig erweitert
DiCoDi® ist weit mehr als ein zusätzlicher Test. Als wissenschaftlich fundiertes Screening-Instrument macht es sichtbar, wie gut zentrale kognitive Prozesse funktionieren, die für das Hören im Alltag entscheidend sind. Für HNO-Praxen und die Hörakustik eröffnet sich damit eine neue Dimension der Versorgung: Weg von der isolierten Betrachtung des Ohres hin zu einem ganzheitlichen Blick auf die Hör-Gehirn-Achse.
Gerade im Bereich der leichten kognitiven Beeinträchtigung (MCI) können solche Informationen besonders wertvoll sein. Auffällige Ergebnisse bedeuten nicht automatisch eine Erkrankung – sie können jedoch Hinweise darauf geben, in welchen Bereichen zusätzliche Belastungen bestehen und wo präventive Strategien sinnvoll sind. Dazu gehören etwa:
-
eine konsequente Hörgeräteversorgung, um kognitive Überlastung durch schlechtes Sprachverstehen zu reduzieren,
-
gezielte Hör- oder kognitive Trainingsprogramme,
-
Empfehlungen zu Bewegung, sozialer Aktivität und geistiger Stimulation,
-
sowie bei Bedarf die strukturierte Weiterleitung in ärztliche oder neuropsychologische Abklärung.
Die Testergebnisse helfen Fachpersonen, Gespräche mit Klientinnen und Klienten fundierter zu führen und individuelle Empfehlungen auszusprechen – nicht alarmistisch, sondern orientierend und motivierend. So wird aus einem abstrakten Risikothema ein konkreter Ansatzpunkt für aktives Handeln.
Damit wird kognitive Diagnostik nicht zum Angstthema, sondern zu einem konstruktiven Bestandteil moderner Hörversorgung: Sie unterstützt frühe Aufmerksamkeit, fördert Eigenverantwortung und kann Menschen ermutigen, ihre Hör- und Gehirngesundheit bewusst zu pflegen.

Wir verstehen uns als Spezialisten für ganzheitliche und therapeutisch orientierte Hörakustik und setzt deshalb auf moderne, wissenschaftlich geprüfte Verfahren wie DiCoDi®. Lassen Sie sich persönlich beraten und gehen Sie mit offenen Augen in eine selbstbestimmte Zukunft – melden Sie sich hier zum Beratungsgespräch an.
____
Veröffentlichung in HNO (Springer/Nature) 02.2026: https://link.springer.com/article/10.1007/s00106-026-01722-8
Mehr Infos auf: www.dicodi.de © Andreas Thomas Koj, Audiotherapeut

