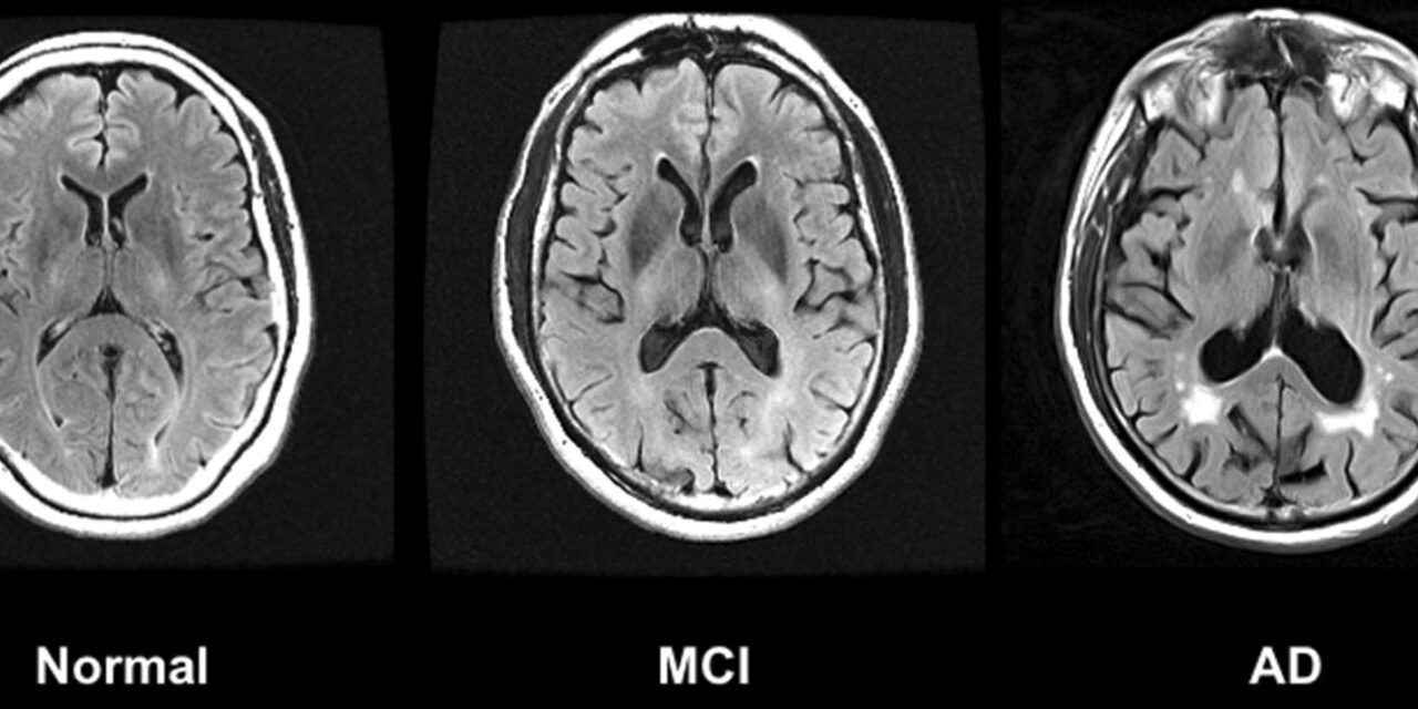
KHN ■ Kann Gehirntraining Demenz verzögern? – Was die Forschung sagt und was das für Hörtraining bedeutet. Neue Langzeit-Forschung aus einer der grössten kognitiven Interventionsstudien (Coe NB, Miller KEM, Sun C, Taggert E, Gross AL, Jones RN, Felix C, Albert MS, Rebok GW, Marsiske M, Ball KK, Willis SL. Impact of cognitive training on claims-based...
Telefon+49 (0)7841 4825 783
Emailnetwork@koj.training









